Our specialty laboratory solutions can fit into your current clinical development plans. Even if you are using another central laboratory provider, our agile approach and customer-centric view allows you to communicate scientist to scientist easily.

Services

Pre-clinical services

As a leading diagnostic and clinical trial operation service company specializing in virology and immunology,  HBRI provides a wide range of preclinical services to test the safety, effectiveness, PK, and (immune) toxicology of antivirals, drugs, antibodies, and vaccines that target infectious diseases.

Preclinical services

Virology and Vaccine Lab

With our services, we assist the pharmaceutical, biotech and academic communities from early preclinical research, including in vivo models, through large-scale, late-stage clinical trial programs for vaccines, monoclonal antibodies, and antivirals

Virology

Assay Development and Technology Transfer

HBRI also develops tailor-made virological, immunological and molecular assays and is highly experienced in all phases of assay development.

Assay development

Genomics

Leverage HBRI’s three-decades-plus experience in genomic sequencing to support your research. 

Genomics

Immunoassays

You can rely on HBRI to outsource your research questions, including efficacy, safety, passive immunization, immunogenicity, pharmaco kinetics, pathogenicity, antiviral therapy, antiviral prophylaxis, drug delivery, resistance mutants, and more.

Immunoassays

Flow Cytometry

Connect with our scientific team to learn how FCM can enhance your research and help you develop the panels you need. 

Flow cytometry
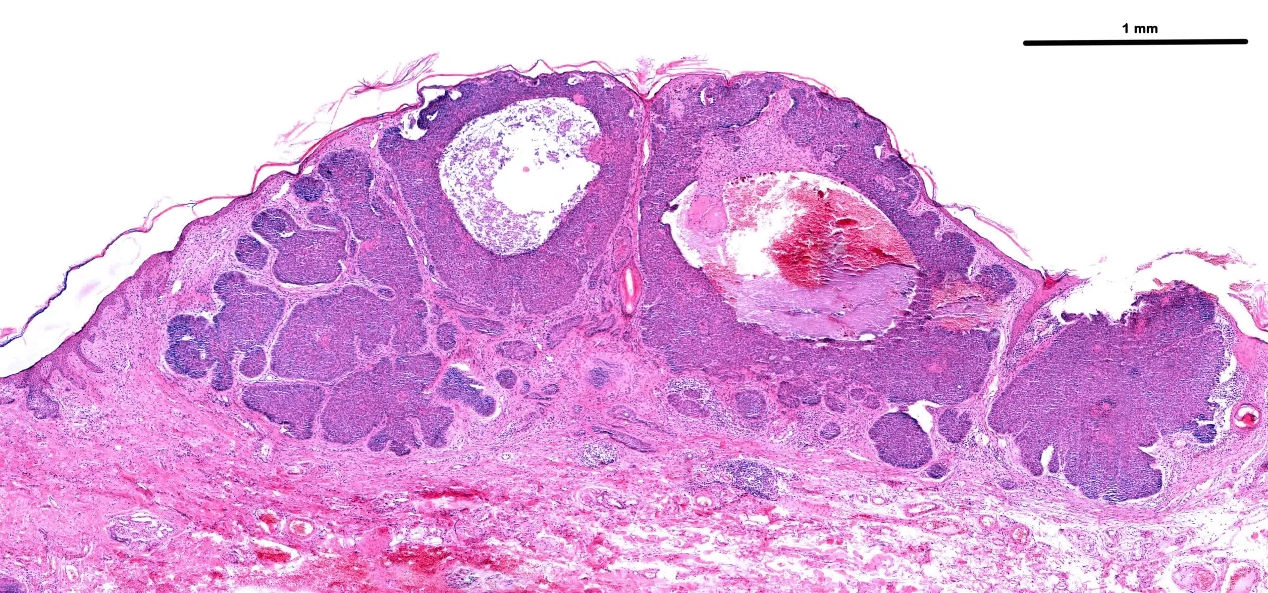
Large,Basal,Cell,Carcinoma.,Cords,And,Large,Islands,Of,Basophilic

Anatomic Pathology

We’re committed to delivering gold-standard tissue sourcing, processing and analysis services.

Anatomic Pathology

Bioanalysis

Discover our experience in the field of circulatory biomarkers..

Pre-analytical/ PBMC Processing

At HBRI we are specialized on functional and analytical tests downstream of PBMCs isolation. We guarantee customers a high level of quality from sample collection to processing, shipping, handling, storage and analysis worldwide.

PBMC processing

Data Intelligence/ Bioinformatics

HBRI has developed unique pipelines specifically for the analysis of viral and microbiome NGS data. Our team of experienced scientists and bioinformaticians work together to provide fully GxP and FDA compliant pipelines that have been scientifically validated. We can help customers to set up data transfer formats following CDISC standards.

Data intelligence

Reach out to our experts and see how we can help advance your clinical trial