The Multiple Myeloma challenge

Multiple myeloma (MM) is a complex haematological malignancy that demands highly specialized laboratory testing to develop targeted therapies. In particular, multiple myeloma therapy development relies on precise biomarker identification, rigorous validation processes, and seamless global deployment of assays.

Our specialists support a wide range of MM studies from discovery to preclinical studies to phase III registration trials and beyond.

Unique offerings for your MM trial

Over 95% of our projects include specialty testing, in particular, flow cytometry, cytogenetics, qPCR, ddPCR, NGS comprehensive myeloma panels, IHC simplex and multiplex protocols, and more.

 

Here’s an overview of the unique offerings at HBRI:

DNA / RNA

NGS, oncopanels,
broad panels, custom panels RNA seq, Single-gene CDNA-based panels ddPCR, qPCR
Whole exome / whole genome
HLA typing
TCR / BCR seq
NanoString®
SNP-array
DNA/RNA extraction
Streck Cell-Free DNA BCT®
PaxGene®, Qiamp kits

Routine/Safety

Coagulation Hematology Biochemistry
UrinalysisPregnancy test
COVID test
Serology
Thyroid function
HbA1c
All IMWG routine assays, such as sPER, uPER, sFLC

Biosimilars
Protein

Multiplex cytokine profiling (37-plex)
50+ ligand binding assays
ELISA ELLA
MSD
ELISpot
EluroSpot assays
PK/ADA/Nab

Cell

Flow Cytometry
Cytek Aurora Immunophenotyping (including intra-cell markers)
Receptor occupancy
MRD detection (for MM by EuroFlow)
CAR T cell enumeration
CAR T cell phenotyping
Intracellular cytokine detection
PBMC isolation
BMMC isolation
Optical genome mapping, our next-generation cytogenetics
PK/ADA/Nab

Tissue

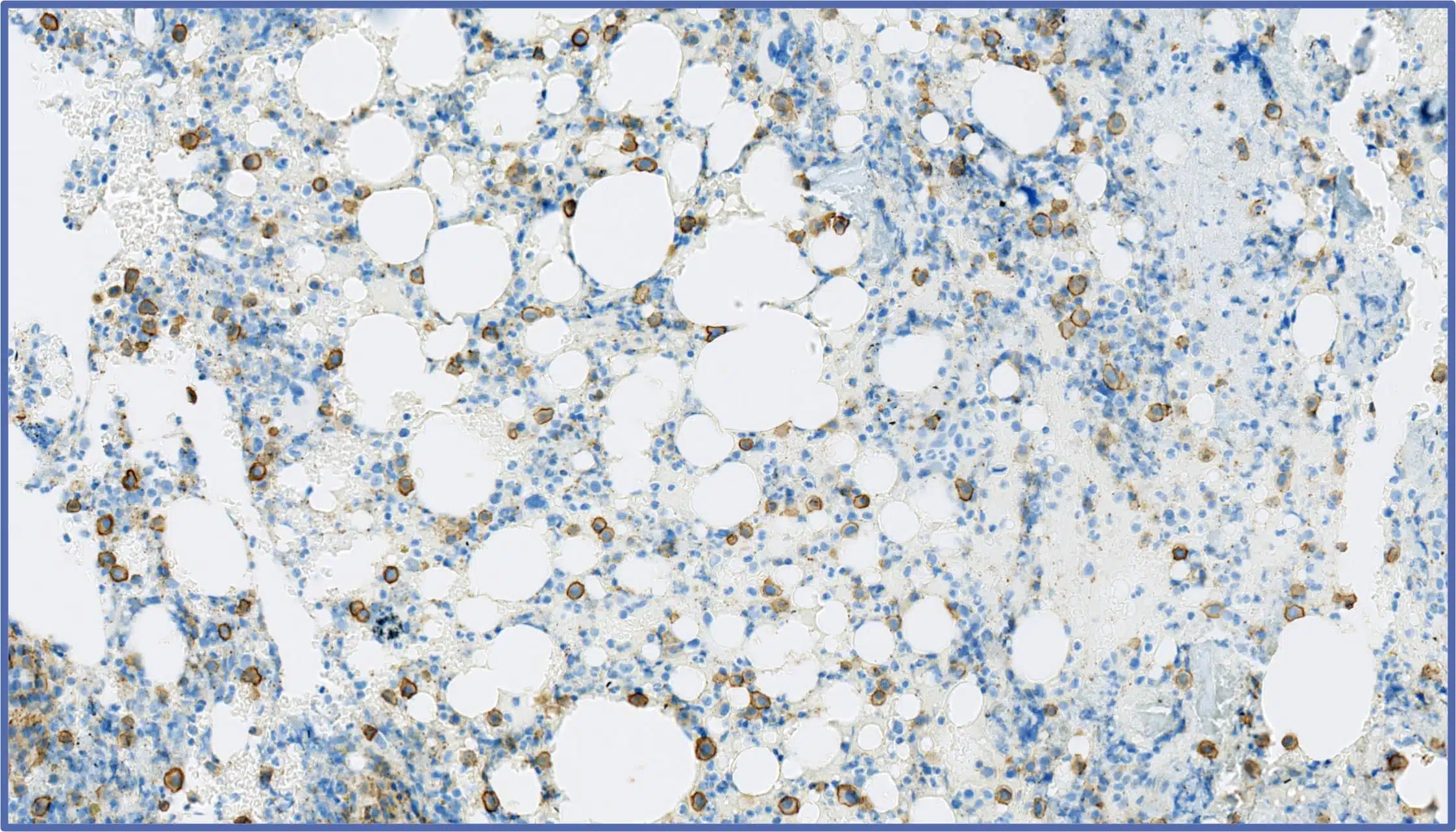
Multiplex / simplex IHC
250+ biomarkers/protocols
Full histopath service Halo®, Visiopharm®
AI in image analysis
Board certified pathologists
Large biobank
Strong immuno-oncology simplex &
multiplex panels
Spatial analysis of the tumor
microenvironment
NanoString® GeoMx, FISH, ISH

We recommend starting engagement with our scientific team early, such as at the protocol design phase, for optimal results. We’re ready to discuss your needs.

Case Study: HBRI implementing complex Flow Cytometry assays globally in Multiple Myeloma study

Started small in US

Study 1: Started with one trial executed in our US laboratory on blood and BMA

  • CAR T enurneration and phenotypic characterization
  • MM phenotypic assay

Expanded to Europe

Study 2: Then added another trial and another region, EU.
Flow Cytoretry panels were improved with this new trial

  • CAR T enumeration for secondary end point assessment
  • CAR T phenotypic characterization
  • Impurity panel to check CAR T expression on non-T cells
  • MM phenotypic assay

Then to Australia

Study 2: Then added another region, AUS.
New flow cytometry instruments were installed and FCM panels were transferred to lab in Australia. Studies 3 & 4 quickly implemented the harmonized FCM panels in all regions

  • CAR T enumeration for secondary end point assessment
  • CAR T phenotypic characterization
  • Impurity panel to check CAR T expression on non-T cells
  • MM phenotypic assay

Biomarkers and MRD in Multiple Myeloma

Multiple myeloma requires sophisticated biomarker analysis to guide treatment decisions and monitor patient response.
Here’s how our testing capabilities support your MM trials:

Testing Focus Methods & Markers Clinical Application
Risk Stratification Cytogenetics (del(17p), t(4;14), t(14;16), +1q21), flow cytometry immunophenotyping, NGS molecular profiling Initial patient assessment and treatment planning
MRD Detection Next-generation flow cytometry (10⁻⁵ to 10⁻⁶ sensitivity), Euroflow protocols, NGS-based detection Primary endpoints, treatment response monitoring
Treatment Response M-protein analysis, BCMA expression, CD38 levels, Immune microenvironment assessment Therapy optimization and efficacy evaluation

Minimal Residual Disease (MRD) Detection has become the gold standard for MM treatment assessment. Achieving MRD negativity is the strongest predictor of patient outcomes, making our ultra-sensitive detection methods essential for regulatory endpoints and clinical decision-making.

Our experience in the Multiple Myeloma landscape

60+

MM trials in the past 10 years

95%+

Of MM trials with specialty testing(s) and 45+ PBMC isolation network labs

176

Genes with our Cerba NGS extended panel for hematological malignancies

250+

Histopathology analysis with markers such as CD138, kappa, lambda run in CLIA accredited laboratories

We recommend starting engagement with our scientific team early, such as at the protocol design phase, for optimal results. We’re ready to discuss your needs.