What Are Hematological Malignancies?

A hematological malignancy, sometimes called a liquid tumor or blood cancer, often originates from the bone marrow, where stem cells differentiate into white blood cells, red blood cells, or platelets. Liquid tumors can be classified into three categories: leukemia, lymphoma, and multiple myeloma (1).

With increased complexity in hematological malignancy protocol design, the emergence of surrogate efficacy endpoints and biomarkers, and often rarity of disease (2), it’s important to select the right laboratory service provider for your trial. HBRI has a wide range of integrated specialty and safety testing options for your clinical trial needs. Get in touch to learn more.

Multiple Myeloma

HBRI Hematological Malignancy Services

Significant challenges often exist in hematological malignancy drug research and development, and complex clinical trials require a laboratory partner who provides services throughout the development spectrum. HBRI understands the complexities of blood cancer research and its associated treatment, diagnostics, and biomarker guidelines for various study endpoints (3). HBRI offers a wide range of expertise that can specifically support hematological malignancy research in this new era of cell and gene therapy (CGT) and precision medicine. We also offer end-to-end blood cancer solutions from discovery to post-market authorization for your global / regional trials.

In the past 5 years, HBRI performed around 100 hematological malignancy trials, including first-in-human (FIH) / phase I and phase II studies. Notably, the lab has been pivotal in approving innovative drugs for indications like multiple myeloma and diffuse large B-cell lymphoma. Our team is experienced in many innovative techniques. We have a global network of laboratories that offers a wide range of capabilities, ranging from safety testing (also known as routine testing) to flow cytometry (FCM), NGS broad-panel assays, immunohistochemistry (IHC), immunoassays, immunogenicity, qPCR, ddPCR, NanoString®, and more. We also facilitate state-of-the-art technologies, subject matter expertise, specialized logistics, and operations to accelerate your blood cancer research and development.

Thanks to our expertise in assay development, validation (4), customization capabilities, robust kit building, sample management, and logistics, we have garnered about 10,500+ patients screened and 8,700+ randomized in our hematological malignancy programs since 2018.

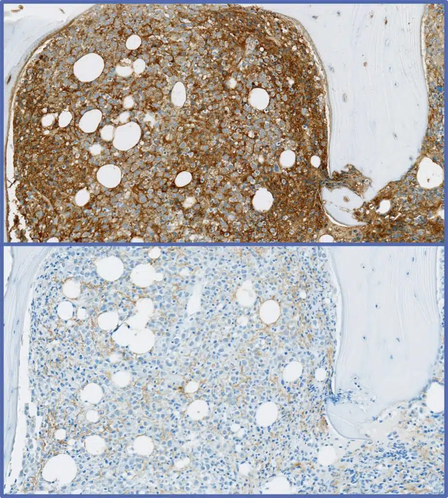
Kappa/Lambda Positivity In Plasma Cell Myeloma

60%+

Of our blood cancer portfolio includes FCM panel(s)

DNA

176

Genes with our Cerba NGS extended panel for hematological malignancies

250+

Histopathology analysis with markers such as CD138, kappa, lambda run in CLIA accredited laboratories

45+

PBMC isolation network labs

We Perform Specialty Testing In ~75% Of Our Hematological Malignancy Portfolio

We performed specialty testing in ~75% of cases within those trials. Specifically, we can perform flow cytometry (FCM), next-generation sequencing (NGS), and/or immunohistochemistry (IHC), amongst other innovative techniques. We can also perform any routine testing (aka safety testing), such as, but not limited to, coagulation, biochemistry, urinalysis, pregnancy test, COVID testing, electrophoresis, and serology, which are essential for any blood cancer trial, and patient inclusion / exclusion criteria. Additionally, HBRI can design and validate specialty-based assays that account for the complex tumor microenvironment of hematological malignancies.

Downstream In-House Applications Performed By HBRI – Specialty Testings Mapped Against HBRI Hematological Malignancy Trials Since 2018

Learn More About Our Hematological Malignancy Drug Development Capabilities

DNA / RNA

NGS, Oncopanels, broad panels, custom panels

RNAseq

Single-gene

ctDNA-based panels

ddPCR, qPCR

Whole exome / whole genome

HLA typing

TCR / BCR seq

NanoString®

SNP-Array

DNA/RNA extraction

Streck Cell-Free DNA BCT®

PaxGene®, Qiamp kits

Routine / Safety

Coagulation

Hematology

Biochemistry

Urinalysis
Pregnancy test

COVID test

Serology

Thyroid function

Protein

Multiplex cytokine profiling (37-plex)

50+ ligand binding assays

ELISA

ELLA

MSD

ELISpot

PK / ADA / Nab

Cell

FCM,

Cytek Aurora

Immunophenotyping (including intra-cell markers)

Receptor occupancy

MRD detection
CAR T cell enumeration

CAR T cell phenotyping

Intracellular cytokine detection

PBMC Isolation

BMMC Isolation

Optical genome mapping, our next-generation cytogenetics

PK / ADA / Nab

Tissue

Multiplex / simplex IHC

250+ biomarkers / protocols

Full histopath service

Halo®, Visiopharm®, AIForia®

Board certified pathologists

Large biobank

Strong immuno-oncology simplex & multiplex panels

Spatial analysis of the tumor microenvironment

NanoString® GeoMx , FISH, ISH

End-to-End Services Across Your Trial Continuum

HBRI can execute upon every hematological malignancy trial phase, ranging from discovery / pre-clinical (data not shown) to post-market authorization trials. As such, our most decisive experience in this space is with FIH / phase I and phase II trials, which comprise 80% of our hematological malignancy portfolio. HBRI is active early on in oncology trials during FIH trials, where our sponsors often continue to work with us on full asset programs until registration trials and beyond. This intelligence, custom assays, and on-target protocol advice can accelerate your program to market.

HBRI Clinical Trial Phases Overview

Our Areas Of Expertise In Hematological Malignancies

We have expertise in various hematological malignancies. We participated in the market authorization / expansion of 24 novel oncology therapies, which were approved for indications such as relapsed or refractory multiple myeloma and diffuse large B-cell lymphoma.

By Hematological Malignancies Indications Since 2018
Mostly MM

Our therapy class experience is often comprised of CGTs (21% of our oncology portfolio) such as chimeric antigen receptor (CAR) T cell therapies, where the HBRI partners for CAR T developers who achieved FDA approvals are here.

The HBRIPartners For CAR T Developers Who Achieved FDA Approvals

Flow Cytometry For Hematological Malignancies

Flow cytometry (FCM) is a key tool in managing hematological malignancies. As such, immunophenotyping is often used during initial diagnosis, follow-up, and/or surveillance. Phenotypic characterization of malignant cells by FCM provides clinicians with valuable data for treatment decisions. Minimal residual disease (MRD) detection by FCM for certain hematological malignancies is life-changing for patients as MRD detection is often used as a surrogate to drug efficacy (5, 6) and is also important in select liquid tumor indications, as outlined below (3, 7).

FCM Clinical Relevance: A Key Tool In The Management Of Hematological Malignancies

Select Liquid Tumors Immunophenotyping MRD Detection
ALL X X*
AML X X*
B-Cell Lymphomas X N/A
CLL X X (ERIC)***
CML X NA
MM X X (Euroflow)†
Myelodysplastic Syndromes X NA
T-cell Lymphomas X NA

AML=acute myeloid leukemia; FCM=flow cytometry; MM=multiple myeloma; MRD=minimal residual disease; * High-sensitivity FCM with validated analysis algorithms; **FCM specifically designed to detect abnormal MRD immunophenotypes; ***6-color FCM (MRD flow) is one of two validated methods used for the detection of MRD at the level of 10-4 to 10-5

Genetics & Genomics For Hematological Malignancies

At HBRI, our expert team can optimize hematological malignancy trials due to our extensive experience in genomics and access to a full range of sophisticated instruments. We are also continuously verifying hematological malignancy international guidelines and adapting our existing panels accordingly (3, 6, 8).

Benefit from a large offering across different hematological malignancies with our Cerba NGS extended panel (176 genes). It covers mutations with established, emerging & exploratory value across multiple myeloma, lymphoids, myeloids, myeloproliferative, myelodysplastic, acute myeloid leukemia (AML), and more. It is performed on bone marrow aspirates or whole blood.

HBRI NGS Extended Panel (176 Genes)

Immunogenicity In Hematological Malignancy Trials

Our clients are supported from pre-clinical to post-market authorization with our in-depth biologics and biosimilar experience. We offer long-standing scientific expertise in pharmacokinetics (PK) and immunogenicity (antibody-drug antibodies (ADAs) and neutralizing antibodies (NAbs)) with a standardized or customized approach as per your vision.

Our focus extends from mAbs to CGTs, ADCs, and more. In addition, we are Good Laboratory Practice (GLP), the College of American Pathologists (CAP), and Clinical Laboratory Improvement Amendments (CLIA) accredited for your regulatory requirements.

References

1. Association of Cancer Care Centers™: Hematologic malignancies. URL [https://www.accc-cancer.org/home/learn/cancer-types/hematologic-malignancies].

2. Orphanet: The portal for rare diseases and orphan drugs. URL [https://www.orpha.net].

3. National Comprehensive Cancer Network®: NCCN guidelines, treatment by cancer type. URL [Treatment by Cancer Type (nccn.org)].

4. Selliah N, Nash V, Eck S, Green C, Oldaker T, Stewart J, Vitaliti A, Litwin V. Flow Cytometry Method Validation Protocols. Curr Protoc. 2023 Aug;3(8):e868. doi: 10.1002/cpz1.868. Erratum in: Curr Protoc. 2024 Jan;4(1):e988. PMID: 37606503.

5. Gaspo R, Claeys R, Sallette J. Minimal residual disease (MRD) detection trending as a primary endpoint in HBRI multiple myeloma (MM) trials. Presented at: EHA; June 8-11, 2023; Frankfurt, Germany.

6. ODAC: Use of Minimal Residual Disease (MRD) as an Endpoint in Multiple Myeloma Clinical Trials. URL April 12, 2024, Oncologic Drugs Advisory Committee Meeting (fda.gov).

7. Kumar S, Paiva B, Anderson KC, Durie B, Landgren O, Moreau P, Munshi N, Lonial S, Bladé J, Mateos MV, Dimopoulos M, Kastritis E, Boccadoro M, Orlowski R, Goldschmidt H, Spencer A, Hou J, Chng WJ, Usmani SZ, Zamagni E, Shimizu K, Jagannath S, Johnsen HE, Terpos E, Reiman A, Kyle RA, Sonneveld P, Richardson PG, McCarthy P, Ludwig H, Chen W, Cavo M, Harousseau JL, Lentzsch S, Hillengass J, Palumbo A, Orfao A, Rajkumar SV, Miguel JS, Avet-Loiseau H. International Myeloma Working Group consensus criteria for response and minimal residual disease assessment in multiple myeloma. Lancet Oncol. 2016 Aug;17(8):e328-e346. doi: 10.1016/S1470-2045(16)30206-6. PMID: 27511158.

8. Jennings LJ, Arcila ME, Corless C, Kamel-Reid S, Lubin IM, Pfeifer J, Temple-Smolkin RL, Voelkerding KV, Nikiforova MN. Guidelines for Validation of Next-Generation Sequencing-Based Oncology Panels: A Joint Consensus Recommendation of the Association for Molecular Pathology and College of American Pathologists. J Mol Diagn. 2017 May;19(3):341-365. doi: 10.1016/j.jmoldx.2017.01.011. Epub 2017 Mar 21. PMID: 28341590; PMCID: PMC6941185.

We recommend starting engagement with our scientific team early, such as at the protocol design phase, for optimal results. Reach out to us here.